
記者蕭麗鳳/綜合報導
55歲的李先生半年前開始頭痛,甚至偶有劇痛,後來又出現複視、吞嚥障礙、手腳無力,四處尋醫卻不得解,日前頭痛劇烈到衛福部彰化醫院急診,住進加護病房。經彰化醫院3位跨科主任層層檢查,終於發現他是鼻竇最深處的左側蝶竇發炎膿腫,壓迫腦神經產生各種症狀,臨床上相當罕見,經內視鏡清除病菌後慢慢復原。
神經內科主任連宮瑩表示,李先生有高血壓病史,平時身體無大礙,卻於半年前開始頭痛,後來再強的止痛劑都無效,看東西影像重疊,脖子肩頸僵硬,下肢無力,反應變得遲鈍,家人覺得不尋常,輾轉求醫,不見好轉,到了日前頭痛欲裂,送到彰化醫院急診室,白血球數飆高,顯見發炎嚴重,送加護病房。
▲加護病房主任林文培說,懷疑李先生是腦膜炎,經檢查及病程情況予以排除,再經電腦斷層及核磁共振攝影,發現其鼻腔最深處的左側蝶竇不正常顯影。(圖/彰化醫院提供)
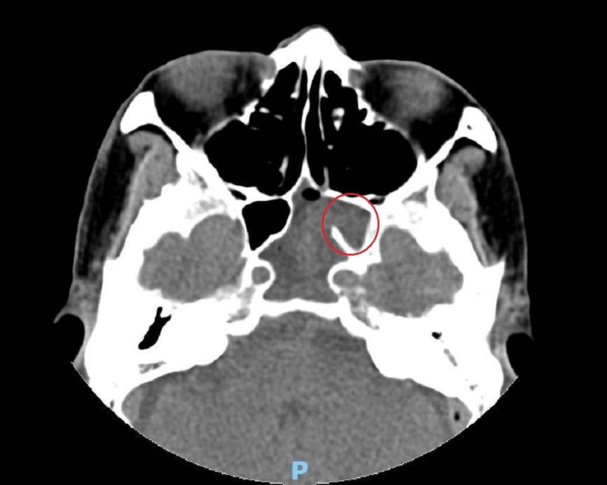
加護病房主任林文培說,懷疑李先生是腦膜炎,經檢查及病程情況予以排除,再經電腦斷層及核磁共振攝影,發現其鼻腔最深處的左側蝶竇不正常顯影,疑似佈滿膿瘍,壓迫到第3至第6對腦神經,才出現頭痛、複視等各種症狀,會診神經內科及耳鼻喉科。
▲一般常見的是鼻竇炎通常伴隨過敏或感冒而來,但很少發生鼻竇最深處的蝶竇單獨發炎。(圖/彰化醫院提供)
耳鼻喉科主任許嘉方表示,一般常見的是鼻竇炎通常伴隨過敏或感冒而來,但很少發生鼻竇最深處的蝶竇單獨發炎,李先生的情況在臨床上很少見,而抗生素已經壓不下病情,病人日漸虛弱,因此緊急手術。
▲許嘉方指出,經細菌培養,李先生蝶竇內共感染了4種細菌,發炎腫脹,透過內視鏡清除膿瘍,消腫後壓迫腦神經的力道慢慢消失。(圖/彰化醫院提供)
許嘉方指出,經細菌培養,李先生蝶竇內共感染了4種細菌,發炎腫脹,透過內視鏡清除膿瘍,消腫後壓迫腦神經的力道慢慢消失,不再頭痛、複視不見、吞嚥變順,腦神經引起的各種症狀逐漸消退。
▲許嘉方表示,統計數據只有1至3%的鼻竇炎患者會出現蝶竇發炎,也就是說,鼻竇炎很少發生在蝶竇,去壓迫腦神經的病例更是少見。(圖/彰化醫院提供)
許嘉方說,鼻竇位於鼻腔、眼窩及顱底頭骨內的顏面骨中的空腔,共有4對,包括上頜竇、篩竇、額竇及蝶竇,而蝶竇位在鼻孔內的最深處,恰在頭顱的正中央,緊鄰顱腦的重要神經,一旦發炎腫脹可能導致災難性的併發症,如本起個案。
許嘉方表示,統計數據只有1至3%的鼻竇炎患者會出現蝶竇發炎,也就是說,鼻竇炎很少發生在蝶竇,去壓迫腦神經的病例更是少見。在文獻中發現,蝶竇發炎個案通常不會被轉診至耳鼻喉科,導致診斷延遲。民眾一旦頭痛不止,出現影像重疊等情況,就要特別注意。